Røntgenfotografering

Røntgen er et uundværligt værktøj som vi bruger dagligt på klinikken. Det er derfor til daglig glæde for os og vores dyreejere at vi kan tilbyde det nyeste inden for digital røntgen. 

Traditionelt tænker man, at man tager røntgenbilleder, for at se om noget er brækket. - Det gør man også, men langt hyppigere undersøger man for alt muligt andet.

Hvornår bruger vi røngten?

Vi tager røntgenbilleder i en række forskellige situationer for at sikre en præcis diagnose og behandling. Dette inkluderer undersøgelser af lunge- og luftvejssygdomme, hjertelidelser, mave- og tarmsygdomme, samt blære- og urinvejslidelser. Vi bruger også røntgen til at identificere sygdomme i lever og milt, diagnosticere kræft og fremmedlegemer, samt vurdere halthed og gigt. For drægtige dyr anvender vi røntgen til at bestemme antallet af hvalpe eller killinger. Derudover tager vi røntgenbilleder i forbindelse med avlsgodkendelse, tandproblemer, og naturligvis for at vurdere brud eller andre knogleproblemer.

 

Hvis patienten er rolig og ikke føler angst og ubehag ved undersøgelse kan man godt tage røntgenbilleder i vågen tilstand, men langt de fleste undersøgelse bliver foretaget efter dyrene har fået lidt beroligende for at opnå den bedste billedekvalitet..

 

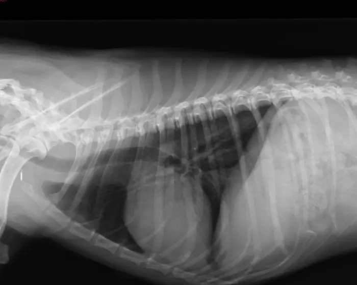
Røntgenundersøgelse af luftvejene

Hvis patienten viser tegn på en luftvejssygdom, har vi ved røntgenundersøgelsen mulighed for at vurdere om det skyldes:

  • Lungebetændelse
  • Væske i lungerne
  • Lungekræft
  • Sammenklappet luftrør
  • For lang gane
  • Brok i mellemgulvet

Har min hund spist noget den ikke skulle?

Hvis I mistænker jeres hund for at have spist noget, som den ikke skulle, kan et røntgenbillede bruges til at se om der er et fremmedlegeme i mavesækken eller tarmene. 

  • Det er det mærkværdigste vi opererer ud af dyrene som de har spist:
    Legetøj
  • Tøj
  • Sten
  • Snore
  • Leverpostejbakker
  • Diverse stykker plastic
  • Metal
    Alt dette har vi typisk fundet ved røntgenundersøgelsen.

Gigtundersøgelse – ikke kun gamle hunde får gigt!

I takt med at vores kæledyr lever længere, vil flere af dem også opleve at få gigt – helt på linie med os mennesker. Der er dog også en del unge dyr som udvikler gigt – dette er ofte noget arveligt.

Hyppigst udvikles gigt i hofter og albuer. Derudover finder man også gigt i knæ, skulder, ryg og i sjældne tilfælde også i de mindre led.

Grunden til at det er vigtigt at få undersøgt patienterne når de viser tegn på gigt eller ledsmerter er, at få iværksat behandling tidligt i forløbet – herved opnår vi de bedste behandlingsresultater.

 

Hvad kan man gøre hvis patienten har fået gigt?

  • Vægttab
  • Foderændring
  • Kosttilskud
  • Cartrophenbehandling
  • Kiropraktik
  • Fysioterapi
  • Laser og ultralyd
  • Genoptræning